보손바이오사이언스

보손바이오사이언스

메뉴 닫기

BSP™Platform 개요도

  • Pipeline

    BSP011

  • Program Target

    AhR-mediated
    inflammatory signaling

  • Disease indication

    Atopic dermatitis (AD)

  • Development Stage

    Pre-clinical

  • Summary

    PM10 등 외부 환경 자극은 피부에서 AhR/ARNT 신호를 활성화하고 MAPKs, NF-κB, AP-1 경로를 통해 COX-2, GM-CSF, CYP1A1 등
    염증 및 독성 관련 유전자의 발현을 증가시켜 가려움, 염증, 피부 장벽 손상 등 아토피 피부염의 주요 병태를 유발합니다.

    BSP011는 이러한 피부 염증 반응의 AhR의
    핵 이동 및 ARNT 결합을 조절하도록 설계된
    AI 기반 BSP™ 플랫폼 유래 재조합 단백질입니다.

    BSP011은 AhR 신호 조절을 통해 CYP1A1 발현을 감소시키고, MAPKs 경로를 조절함으로써
    NF-κB 및 AP-1 활성화와 연관된 하위 스트림 염증 반응을 완화합니다.

    이를 통해 가려움, 홍반, 진물, 태선화 등 아토피 피부염의 핵심 증상 개선을 목표로 합니다.

  • 구조 및 작용기전(Structure & Mechanism)

    • 기전 : AhR / ARNT 신호 조절
    • 반응 : 사이토카인 및 케모카인 발현 감소
  • Preclinical Highlights

    극저용량 효능 평가

    • 극저용량(1 µg/mice) 조건에서 유의미한 아토피 개선 효과 확인

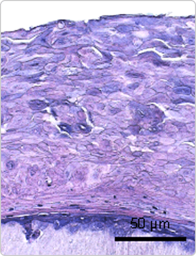
    인체화 피부 모델(RHS) 평가

    • TNF-α / IL-4 / IL-13으로 유도된 AD 표피 비후 모델에서 BSP011 처리 시 표피 비후가 정상 대조군 수준으로 회복
    • Contorl
    • AD cocktail
    • AD cocktail + Dup*****
    • AD cocktail + BSP011

    상위(AhR/ARNT) 및
    하위스트림(사이토카인/케모카인) 억제효과

    • TNF
    • IL-13
    • IL-4
    • IL-13
    • IL-33
    • CCL2
    • CXCL8
    • TSLP

    동물 모델 평가

    • 피하 주사(S.C.) 및 외용 도포(T.A.) 모두에서 양성 대조군 대비 우수한 표피 비후 개선 효과 및 안전성 확인
    군(Group) Untreated Dup***** BSP011 (S.C.) BSP011 (T.A.)
    표피
    비후
    지수
    6.93 1.83 1.42 1.00 (최고)